Here are 5 free X-Ray viewer software for Windows. These software allow you to view X-Ray images for visualizing and analyzing them. These software read an X-Ray image from a DCM file and then view it on their interface. You can then use the different tools from these software to visualize the X-Ray image. There are various tools like brightness, contrast, zoom, pan, image statistics, ROI statistics, ruler for measuring, annotations, angle, and so many more. You can visualize the X-Ray image in any way you want and then you can opt to print it or export it as an JPEG image as well.
If you are in medical field or an expert in X-Rays, then you often need to see and analyze the X-Ray images. But if the X-Ray images are digital, then you can’t simply view them in any image viewer software. Those image can be viewed in special viewers knows as DICOM viewer. And there are a lot of DICOM viewer out there but here I will talk about DICOM viewer software that support showing X-Ray images.

5 Free X-Ray Viewer Software for Windows:
Weasis

Weasis is one of the best free X-Ray viewer software for Windows that you can use. It is an open source X-Ray viewer software too which lets you view X-Ray files right on your PC and you can use different tools to visualize it. It offers a very intuitive interface where you can open and view the X-Ray images. There are a lot of tools in this software that you can use to assist you while analyzing any X-Ray image. It offers you tools like zoom, pan, brightness controller, measurement tool, invert MUT, shapes, and some others. When you have analyzed an X-Ray image then you can opt to directly print it or you can even export it on the clipboard as an image.
Get this software from the above link and then run it directly. There is no need to install it first. Use the File > Open menu to import a X-Ray file which is a DCM file. After that, it will load it in the main X-Ray image in its viewer and then you can start visualizing it. If you want to measure something then simply select the measurement tool from the toolbar. Also, you can use other tools to analyze the image. You can increase or decrease the brightness in the image to get a perfect view. And when you are done, you can either print it or copy it to the clipboard. Use the File menu to do that.
3DimViewer

3DimViewer is simple, yet a powerful X-Ray viewer software. It lets you open an X-Ray image in its viewer and help you visualize it using some tools. This is cross-platform software and uses DCM format for the images to open and view X-Ray files. You can use the different set of tools to fully visualize the image like the zoom tool, brightness changer, coordinates changer, apply filters, and use ruler to measure the distances, angle, etc. You can do whatever you want with the X-Ray images and the software is very well able to handle that. However, here it doesn’t allow you to export an X-Ray as an image just like the software above.
Simply download this software from the above link and then install it. Next, run this and then open an X-ray image in it. It will open the X-Ray image in a separate viewer window and you can find all the tools in it to assist you to visualize it. Also, some of the tools are in a detached small window as well. You can use the tools like ruler, brightness to thoroughly analyze the X-ray of various body parts. There are some other advanced tools in the software too that you can use like filter tool, image statistics, ROI statistics, histogram, etc.
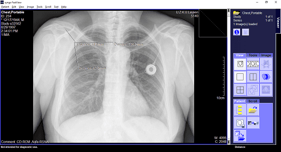
syngo FastView

syngo FastView is another free software to view X-Ray files and analyze them. It shows the accurate display of syngo graphic objects and supports different layouts. In addition to this, it supports importing of XA scenes. You can easily open an X-Ray image which is generally in DCM format and use the different tools that it offers to visualize them. It opens the X-Ray image in its intuitive viewer and supports automatic scanning of images as well in a specified folder. After opening an image, you can use tools like zoom, pan, rotate, magnify, minify, mirror, flip, measure tool and some others. All the tools are in various menus of this X-Ray viewer. You can use them easily and view any X-Ray image like a pro.
Follow the above link to get the setup file of this software. After that, install it and then open it. For opening DCM images, you can either specify a folder and then let this software automatically find all the files. Or, you can even explicitly specify a DCM file from your PC to open it. After that, you can use the different tools to assist you for studying an X-Ray image. The basic image handling tools are in the “Image” menu of the software. And some others are in the “Tools” menu of the software. Use the software for viewing any X-Ray images you have and even export them as JPEG files.
YAKAMI DICOM Viewer

YAKAMI DICOM Viewer is yet another free X-Ray viewer software to view X-Ray files. It is a very simple and quite an old software to open and view X-Ray files right on your PC. Like all the other tools that I have mentioned in this list, you can use this software in the same way. Just open any X-Ray file in it and then start visualizing it. You will find tools like magnifier, filter, mirroring, gamma, overlay, fusion, and some others. You can use these tools and then study the X-Ray image that you have.
To visualize an X-Ray image in this software, simply load it in the software. After that, use different tools from the software to study the X-Ray image. The tools are not in the toolbar; you have to right-click in the viewer to see all the tools in the context menu of the software. After that, use those tools and then do whatever you want.
MicroDicom

MicroDicom is the last X-Ray viewer software in my list that you can use. This is a simple software and it is fully functional DICOM viewer software that you can use on your PC. It allows you to view X-Ray images with the help of some really useful tools. You will find all the essential tools in this software that you can use to view the local X-Ray images and then even export them as a JPG file as well. And not just an image, but you can even export the X-Ray image as an AVI video file as well. It offers you tools like zoom, pan, hand, angle, distance, blur, full screen, and some more. You can use all these tools and study the X-Ray image in any way you want. However, this is not fully free software, you can only use it for non commercial use.
Using MicroDicom as an X-Ray viewer software is very simple. Just get this software from above and then install it on your PC. Next, load an X-Ray image in it and then you can start studying it. Use the different assistive tools from the toolbar of this software and then do whatever you want. You can measure the different parts in the X-Ray or analyze the tiny portions by varying the brightness. And finally, when you are done, you can either export the X-Ray as an image or you can directly print it.
Final thoughts
These are the best free X-Ray viewer software for Windows that I have listed. You can use any software from above list to easily open and view X-Ray files right on your PC. All you need is X-Ray images in DCM format and then load them in any viewer that I have listed above. You can also export an X-Ray image as JPG as well with the help of some software in the above list. So, if you are looking for some free X-Ray viewer software then this post may really come in handy.